گرگرفتگی یائسگی؛ راهکارهای طبیعی برای مقابله با آن گرگرفتگی یکی از شایعترین علائم یائسگی است که اغلب زنان را آزار میدهد. این احساس ناگهانی گرما و تعریق میتواند بر کیفیت زندگی تأثیر بگذارد. خوشبختانه، علاوه بر درمانهای هورمونی، روشهای طبیعی بسیاری برای کاهش شدت و دفعات گرگرفتگی وجود دارد. در ادامه به بررسی این روشها […]
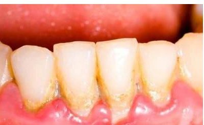
دندانهایی درخشان و سالم با روشهای خانگی؛ خداحافظی با جرم دندان آیا از جرم روی دندانهایتان ناراضی هستید؟ آیا به دنبال راهی آسان و طبیعی برای سفید کردن دندانها هستید؟ در این مقاله، روشهای خانگی مؤثر برای رفع جرم دندان و حفظ سلامت دهان و دندان را بررسی خواهیم کرد. علت تشکیل جرم دندان جرم […]
سردردهای شبانه؛ چرا و چگونه؟ سردردهای شبانه نه تنها خواب آرام را از شما میربایند، بلکه ممکن است نشانهای از مشکلات جدیتر سلامتی باشند. در این مقاله به بررسی دلایل اصلی این نوع سردردها و راهکارهایی برای پیشگیری و مدیریت آنها میپردازیم. علل شایع سردردهای شبانه: استرس و اضطراب: یکی از شایعترین دلایل سردردهای شبانه، […]
ویتامین B1: کلید انرژی و سلامت بدن ویتامین B1 یا تیامین، یکی از ویتامینهای ضروری برای بدن است که نقش مهمی در تبدیل مواد غذایی به انرژی، عملکرد صحیح سیستم عصبی و سلامت قلب ایفا میکند. این ویتامین به بدن کمک میکند تا از کربوهیدراتها، چربیها و پروتئینها انرژی تولید کند. اهمیت ویتامین B1 برای […]
رژیم غذایی کرهای: ترکیبی از سنت، سلامتی و خوشمزه بودن زنان کرهای به دلیل اندامهای زیبا و پوست شفافشان در سراسر جهان شناخته شدهاند. یکی از دلایل اصلی این زیبایی، رژیم غذایی سالم و متعادلی است که از نسلها به نسل دیگر منتقل شده است. در این مقاله، به بررسی دقیق رژیم غذایی کرهای، فواید […]